Berita Luar Negeri
Remaja Masukkan Kabel ke Dalam Alat Kelamin Untuk Ukur Panjang, Begitu Tersangkut di Bawa ke Dokter
Melansir dari Daily Mail, Sabtu (18/9/2021) remaja laki-laki ini berusia 15 tahun berasal dari London Inggris.
Penulis: Syamsul Azman | Editor: Muhammad Hadi
SERAMBINEWS.COM - Ada saja tingkah seorang remaja laki-laki ini dan jangan pernah ditiru.
Ia memasukkan kabel ke dalam alat kelamin untuk mengukur kedalaman alat kelaminnya.
Alhasil kabel tersangkut dan ia mesti menjalani operasi.
Melansir dari Daily Mail, Sabtu (18/9/2021) remaja laki-laki berusia 15 tahun yang tidak ingin identitasnya disebutkan yang berasal dari London Inggris.
Ia mengalami kesakitan parah usai benda yang tidak sewajarnya berada di dalam tubuhnya.
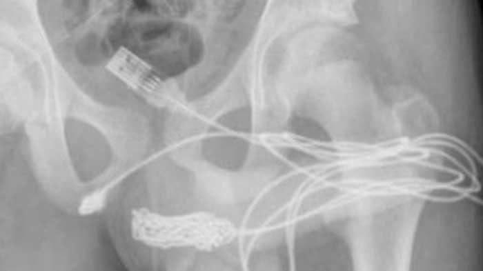
Remaja itu menjalani pembedahan karena kabel tersangkut di dalam kelamin.
Dokter menyebut remaja yang identitasnya tidak ingin dipublikasi, melakukan aksi demikian bertujuan untuk mengukur alat kelaminnya.
Namun, eksperimennya gagal sehingga kabel yakni USB yang ia gunakan tersangkut pada saluran kelamin dan tidak bisa dikeluarkan.
Baca juga: VIDEO Brimob Polda Aceh Gelar “Vaksin Go To School” Diikuti Pelajar di Kota Banda Aceh
Baca juga: VIDEO Cerita Nakes Korban Kekejaman KKB Papua, Puskesmas Dibakar, Ditelanjangi hingga Disiksa
Awalnya ia berusaha mengeluarkan sendiri, namun keadaan beresiko karena saat ia buang air kecil keluar darah.
Karena mengalami kesakitan, remaja ini dibawa ke Rumah Sakit Universitas London dan menjalani pemeriksaan melalui x-Ray, sebelum ada keputusan bahwa kelaminnya akan dibedah.
Dokter bedah juga memotong sebagian otot bulbospongiosus yakni otot pada bagian kelamin manusia.
Setelah bagian tersulit tersebut berhasil dibedah, kabel USB yang tersangkut akhirnya bisa dikeluarkan.
Baca juga: VIDEO - Para Astronot Shenzhou-12 Sukses Mendarat di Bumi
Remaja ini selamat dari proses pembedahan, ia tidak mengalami komplikasi kesehatan dan kembali diperiksa pada keesokan harinya.
Dua minggu kemudian, setelah ditelusuri penyebab ia memasukkan kabel ke alat kelamin, ternyata hal ini bukan pertama kali terjadi.
Dokter menjelaskan, bahwa melihat bekas-bekas pada alat kelaminnya.
Baca juga: Cara Bikin Wajah Glowing, Ikuti Tips dr Zaidul Akbar Berikut, Dianjurkan Rutin Makan Ini
